edición general
163 meneos
1916 clics
El origen del cometa Churyumov-Gerasimenko y otros descubrimientos de Rosetta (Bitácota de Rosetta 14)

El origen del cometa Churyumov-Gerasimenko y otros descubrimientos de Rosetta (Bitácota de Rosetta 14)

Es la primera vez que un artefacto humano puede estudiar durante tanto tiempo un cometa y cómo aumenta su actividad a medida que se acerca al Sol. La razón principal para estudiar cometas es que se supone que se trata de restos primigenios de la formación del sistema solar, así que cabe preguntarse si la sonda Rosetta ha logrado despejar alguna incógnita sobre el origen de Chury. Y la respuesta es afirmativa.
376 meneos
983 clics

El paro baja en 117.985 personas

El número de desempleados registrados en los servicios públicos de empleo disminuyó en mayo en 117.985 personas, hasta dejar el total en 4.215.031 parados, lo que representa el mayor descenso en un quinto mes del año de toda la serie histórica, que comenzó en 1996. Según los datos publicados hoy por el Ministerio de Empleo y Seguridad Social, en términos desestacionalizados, el desempleo disminuyó en 34.160 personas en mayo, marcando también así el mejor dato registrado en ese mes.
293 meneos
25072 clics
Fotos de los miembros de la pandilla más peligrosa de Nueva Zelanda

Fotos de los miembros de la pandilla más peligrosa de Nueva Zelanda  

Los acompañé a un recorrido por todo el país en honor a sus hermanos caídos. Íbamos en una caravana de 30 V8 Fords, o "Henries", como les llaman ellos. Llegó un punto en que nos adentramos en territorio Black Power, la pandilla enemiga. Cuando los tipos de Black Power vieron al primer grupo de Henries entrar a la ciudad, aparecieron seis hombres con ladrillos y bates de béisbol y atacaron a la caravana. Después llegaron los demás vehículos de Mongrel Mob y empezó una reyerta en plena avenida principal. Por suerte llegó el jefe de Mongrel Mob y
128 165 2 K 714 cultura
128 165 2 K 714 cultura
621 meneos
19324 clics
Qué fue de Juan Tamariz

Qué fue de Juan Tamariz

Estar viendo la tele, una gala o programa, y aparecer Juan Tamariz significaba diversión asegurada. Toda la familia se acomodaba en el sofá para dejarse sorprender por las ocurrencias del ilusionista de larga melena, que además de dejarnos con la boca abierta nos divertía con sus números extravagantes y ese gesto que todos imitábamos de tocar un violín imaginario. Tan-ta-tachán. Antes de nada que quede claro que Tamariz, aparte de sus espectáculos llenos de humor, está considerado como uno de los mejores magos del Mundo.
227 394 7 K 637 cultura
227 394 7 K 637 cultura
2406 meneos
37597 clics
Vergonzosa portada de Marhuenda contra Manuela Carmena

Vergonzosa portada de Marhuenda contra Manuela Carmena

Francisco Marhuenda ha vuelto a marcarse una portada de esas que revienta Twitter, no por maestría, sino por vergonzosa. El director de La Razón es experto en manipular para dejar ver lo que quiere, aunque esto esté lejos de la realidad. Entre otros muchos ejemplos, lo hizo con los estudiantes que se manifestaban contra los recortes y contra los sindicatos por oponerse a la reforma laboral. Ahora el objetivo es Manuela Carmena, la candidata de Ahora Madrid. ¿Y cómo lo ha hecho? Tomando una foto en la que aparece la exdirigente de IU Tania S...
469 meneos
2164 clics
Una combinación de drogas presenta resultados espectaculares en el tratamiento del cáncer (ENG)

Una combinación de drogas presenta resultados espectaculares en el tratamiento del cáncer (ENG)

Un ensayo internacional utilizando ipilimumab y nivolumab para tratar a pacientes con melanoma avanzado de cáncer detuvo el avance del mismo en un 58% de los casos
150 319 7 K 598 cultura
150 319 7 K 598 cultura
1663 meneos
1753 clics
El saqueo de la Fundación Caja Madrid: Blesa financió con más de 14 millones a PP, PSOE, IU y CCOO

El saqueo de la Fundación Caja Madrid: Blesa financió con más de 14 millones a PP, PSOE, IU y CCOO

- InfoLibre ha tenido acceso, gracias al BuzonX de Xnet, a un centenar de contratos firmados entre 1997 y 2011 por la Fundación Caja Madrid con 13 patronatos ligados a PP, PSOE, IU y CCOO - El reparto fue el siguiente: 5,6 millones para las fundaciones del PP, 4,4 para las del PSOE, 2,5 para las de CCOO y 1,7 para la de IU - Entre los firmantes figuran Francisco Granados, Jaime García-Legaz, Rafael Simancas o Ángel Pérez
849 meneos
3519 clics
Así se cocinan contratos y concursos públicos

Así se cocinan contratos y concursos públicos

Decenas de correos electrónicos entre dos empresas privadas beneficiadas y el organismo público Madrid 112 describen cómo se prepara un proyecto desde la presentación hasta la adjudicación final. La comunicaciones contienen la muestra inicial del plan, acuerdos de troceo de facturas para ser contrato menor y la redacción de documentos técnicos que se incluirían en el concurso público. El antiguo gerente del 112 y una encargada de una de las empresas se desdicen: "Al final no se hizo así".
1239 meneos
1987 clics
El juez Velasco imputa a cinco altos cargos del PP en la operación Púnica

El juez Velasco imputa a cinco altos cargos del PP en la operación Púnica

Nuevo varapalo para el PP, un partido que parece estar cercado por la corrupción. Eloy Velasco, juez de la Audiencia Nacional, ha decidido imputar a cinco altos cargos del PP —tres consejeros autonómicos y dos diputados regionales— por el caso Púnica, la trama encabezada por Francisco Granados y que cobraba comisiones a cambio de adjudicaciones públicas en varios ayuntamientos madrileños.
225 meneos
12197 clics
«Pues sí, me hice marino mercante porque es un trabajo tranquilo…» (Eng)

«Pues sí, me hice marino mercante porque es un trabajo tranquilo…» (Eng)  

Vídeo tan WTF como la altura de las olas del Atlántico Norte azotado por la tormenta Hércules en las que se vio atrapado este superbarco, el OOCL Belgium. Un momento de tormenta perfecta. Cuentan en el blog GCaptain que la altura de las olas pudo llegar a 20 metros y el buque portacontenedores llegó a inclinarse hasta 40º. Tened en cuenta que es un buque de casi 250 metros de eslora con capacidad para 3000 contenedores, una auténtica bestia de los mares. (Textos/vía: wtf.microsiervos.com/eltubo/trabajo-tranquilo-tormenta-superbarco.html
100 125 2 K 584 ocio
100 125 2 K 584 ocio
1411 meneos
4338 clics
Los socialistas europeos justifican su giro ante la votación sobre el TTIP

Los socialistas europeos justifican su giro ante la votación sobre el TTIP

A una semana de que el Parlamento Europeo vote sobre una posición común frente a las controvertidas negociaciones de un acuerdo de libre comercio entre la Unión Europea y EEUU crece la presión sobre los socialdemócratas. El giro de los partidos del grupo Socialistas y Demócratas (S&D), entre ellos el PSOE, a favor del polémico mecanismo de arbitraje privado entre empresas y Estados ha provocado un gran malestar entre sus bases y otras partes de la ciudadanía.
691 meneos
10077 clics
¿Por qué los jovenes ya no quieren comprar automóviles y vivienda?

¿Por qué los jovenes ya no quieren comprar automóviles y vivienda?

Tradicionalmente el éxito se medía en el hecho de tener vivienda propia y un automóvil, pero eso ya no es así. Los jóvenes han revalorado la definición de éxito. Antes se decia que alguien exitoso era aquel dueño de su propia vivienda y al menos un automóvil, pero ahora se valora a quienes han invertido su dinero en experiencias, viajes y aventuras. Ahora la gente quiere un horario de trabajo flexible, independencia económica y geográfica, antes que prosperidad (como se la conocía) y estabilidad.
275 meneos
4590 clics
Hallan un tesoro perteneciente a la civilización casi desconocida de los escitas

Hallan un tesoro perteneciente a la civilización casi desconocida de los escitas

Un equipo de arqueólogos de la Fundación del Patrimonio Cultural Prusiano ha desenterrado un pequeño tesoro de objetos de oro que dejó atrás un pueblo conocido como los escitas.
109 166 0 K 558 cultura
109 166 0 K 558 cultura
124 meneos
2303 clics

¿Y si hacemos aterrizar a Rosetta en 67P?

Como está previsto la sonda Rosetta de la Agencia Espacial Europea sigue en órbita alrededor del núcleo del cometa 67P/Churyumov-Gersaimenko, a donde llegó el 6 de agosto de 2014, mientras este se aproxima al perihelio, el punto de su órbita más cercano al Sol. Seguirá en órbita alrededor de él durante los próximos meses, mientras se vuelve a alejar del Sol, en principio hasta finales de 2015.
289 meneos
4648 clics

Comunicado al gobierno desde Escombrillos

Respondiendo a esto: tinyurl.com/pqcsu8t Señoras/os redactoras del último comunicado de la presidencia las cuestiones ideológicas y políticas interfieren siempre en el desarrollo del acontecimiento deportivo en cuanto iniciamos un partido de fútbol con el himno de nuestro Estado o desde que llamamos Real Madrid a un equipo. Una pitada no arma más revuelo que un gol, interfiere tanto en la normalidad como cualquier otra expresión política: como cantar el himno o agitar banderitas de tal o cual país o colocar a un rey en el palco de un estadio. Y tened presente que a gran parte de…
326 meneos
1511 clics
La CUP comunica a "Barcelona en Comú" que no entrará en el gobierno municipal [CAT]

La CUP comunica a "Barcelona en Comú" que no entrará en el gobierno municipal [CAT]

Maria Rovira (CUP) ha dejado claro que la formación ya había descartado formar parte de algún gobierno municipal, pero que están abiertos a la posibilidad de hacer pactos y alianzas una vez estudien el programa de gobierno de Barcelona en Comú. La CUP quiere evaluar en qué puntos se pueden entender con BEC y, si fuera necesario, tener pactos estables fuera del gobierno.
402 meneos
2581 clics
Europa: el claro retroceso de la legalización del cannabis

Europa: el claro retroceso de la legalización del cannabis

Cada vez son más los lugares que, con la finalidad de proteger la salud y seguridad de sus ciudadanos, están cambiando sus políticas de drogas y comienzan a debatir sobre la legalización del cannabis. El prohibicionismo ha fallado, lleva años fallando, por eso Colorado, Washington, Alaska, Oregón o Uruguay han dado pasos significativos hacia una legalización que pone fin a los mercados criminales y aumenta la defensa del consumidor. Pero, ¿qué pasa en Europa? Aquí la situación no es tan alentadora.
680 meneos
1523 clics

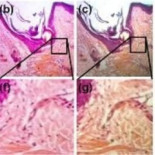
Descubierto mecanismo que provoca metástasis gracias al equipo del Dr. Esteller (Inst. Inv. Biomédicas Bellvitge)

Un equipo internacional de investigadores ha encontrado el mecanismo por el que las células tumorales logran ‘escapar’ de su lugar original (tumor primario) y provocar metástasis. Los resultados de este trabajo, dirigido por Manel Esteller, director del Programa de Epigenética y Biología del Cáncer del Instituto de Investigaciones Biomédicas de Bellvitge (Barcelona), se publican en la revista Nature Medicine. Los investigadores incluyen también a científicos del Hospital La Fe y Hospital General de Valencia (España).
205 475 1 K 510 cultura
205 475 1 K 510 cultura
1084 meneos
5250 clics
Patético el alcalde de Córdoba (PP) al pedir una prórroga de tres meses en el cargo y que luego lo echen

Patético el alcalde de Córdoba (PP) al pedir una prórroga de tres meses en el cargo y que luego lo echen

Una propuesta sin precedentes y que demuestra el grado de patetismo que anida en las filas populares, es la que ha realizado hoy el alcalde de Córdoba en funciones y candidato a la Alcaldía, José Antonio Nieto (PP), al proponer a todos los grupos políticos que han entrado en el Consistorio que su partido gobierne la ciudad hasta el 31 de diciembre. Nieto consciente de que un pacto tripartito del PSOE, IU y la marca de Podemos en la capital lo van a desalojar del Consistorio en dos semanas, ha pedido una prórroga en el partido de tres meses
641 meneos
2319 clics

Una asociación de jueces avisa a Colau que incumplir la Ley es una forma de "corrupción" y se la podría "inhabilitar"

El portavoz de la Asociación de Jueces Francisco de Vitoria, Marcelino Sesmero Iglesias, advirtió hoy a la candidata a la alcaldía de Barcelona, Ada Colau, que la desobediencia a las leyes es también "corrupción" y puede incurrir en responsabilidad penal por prevaricación "por mucho que a ella le parezca injusta la ley que incumpla".
228 meneos
9532 clics
Si eras una habitual de los recreativos, estos bares te van a encantar

Si eras una habitual de los recreativos, estos bares te van a encantar

Los míticos salones recreativos han empezado a aparecer en algunos lugares de Estados Unidos con un concepto nuevo, son los llamados Arcade Bars, una mezcla de salones recreativos de arcades clásicos con barra de bar donde poder beber alcohol (o cualquier otra bebida) y escuchar música. Una curiosa iniciativa que lleva ya unos años y se está convirtiendo en un éxito, expandiéndose por todo el país. En Japón proliferan a su vez los denominados "Game Bar", una idea similar aunque con algunas diferencias.
103 125 3 K 568 ocio
103 125 3 K 568 ocio
562 meneos
11736 clics
¿Por qué el "plan B" de Varoufakis es un éxito y por qué le ayuda el BCE?

¿Por qué el "plan B" de Varoufakis es un éxito y por qué le ayuda el BCE?

Varoufakis tiene un plan B meticulosamente tramado mes tras mes, a medida que las negociaciones entre Grecia y sus acreedores de la Unión Europea se han ido alargando en el tiempo. Es el juego del poli bueno - poli malo que ha desplegado junto a Alexis Tsipras en el que el primer ministro ha esgrimido el plan A: una extensión del préstamo a Grecia y una renegociación de los términos del pago de la deuda.
480 meneos
3881 clics
Bq hará el primer teléfono con Ubuntu que se convierte en PC de escritorio [ENG]

Bq hará el primer teléfono con Ubuntu que se convierte en PC de escritorio [ENG]

Bq lanzará al mercado el primer móvil Ubuntu convergente, es decir, capaz de convertirse en un PC de escritorio al conectarse a una pantalla. Se ha establecido como fecha tentativa octubre de este año, pero estará sujeto al estado de desarrollo de la plataforma. Este será el primer móvil diseñado para Ubuntu, ya que los anteriores (Aquaris E4.5 y el recientemente anunciado Aquaris E5) fueron diseñados inicialmente para Android.
475 meneos
4230 clics
El Celler de Can Roca, de nuevo elegido mejor restaurant del mundo, según la revista Restaurant

El Celler de Can Roca, de nuevo elegido mejor restaurant del mundo, según la revista Restaurant

El Celler de Can Roca, de nuevo elegido mejor restaurant del mundo, según la revista Restaurant
316 meneos
17326 clics
Los idiomas que dominan el mundo

Los idiomas que dominan el mundo  

En el mundo hay unas 7.000 lenguas habladas de forma activa, pero solo 23 idiomas son los que dominan por completo en cientos de países. Estos 23 idiomas son hablados en total por más de 4.100 millones de personas, casi el 60% de la población total. Esta genial infografía ayuda a entender la importancia de cada idioma. Enlace directo a la infografía: cdn3.scmp.com/sites/default/files/2015/05/27/languages.png
129 187 1 K 653 cultura
129 187 1 K 653 cultura

menéame