edición general
669 meneos
764 clics
El Ministerio de Sanidad pone en marcha su plan para limitar las privatizaciones

El Ministerio de Sanidad pone en marcha su plan para limitar las privatizaciones

"Mónica García saca a consulta pública la ley de Gestión Pública e Integridad del Sistema Nacional de Salud con la que pretende evitar nuevas privatizaciones y facilitar que se reviertan las que ya se han producido a lomos de un modelo que ha favorecido “los beneficios obscenos” de algunas compañías, aseguran"
475 meneos
1277 clics
Brutal paliza con tirones de pelo y patadas a una niña trans de 13 años en Granada

Brutal paliza con tirones de pelo y patadas a una niña trans de 13 años en Granada

Un grupo de menores agredieron a la víctima hasta que perdió el conocimiento mientras la grababan en el municipio de Santa Fe rutal paliza con tirones de pelo y patadas a una niña trans de 13 años en Granada. Ha estado recibiendo bullying y agresiones por parte de estos mismos menores, que eran compañeros en el Colegio. Por esta razón, la menor tuvo que abandonar dicho centro y trasladarse a otro vecino, donde según relata, se siente mucho más respetada y desarrolla una vida académica normal.
251 meneos
1985 clics
"Suena muy duro, pero me da alivio decir que me gustaría que mi hijo se muriera unos minutos antes que yo": el honesto relato de la madre de un joven con autismo

"Suena muy duro, pero me da alivio decir que me gustaría que mi hijo se muriera unos minutos antes que yo": el honesto relato de la madre de un joven con autismo

Ninguna persona en el mundo nació para tener un bebé de por vida, y eso es lo que nos pasa a los papás que tenemos un chico con autismo: tenemos un bebé de por vida al que tenemos que limpiarle el culo, hacerle la comida, cepillarle los dientes… Es el estrés que te genera tener un bebé, multiplicado por la cantidad de años que viva ese bebé. Me preocupa más dejarlo solo o dejárselo al hermano. Me parte el dolor, quiero que sea lo último que pase, pero en el fondo me alivia pensar en que él se muera antes que yo.
542 meneos
1800 clics
El senador Lindsey Graham sugiere usar la bomba atómica en Gaza: "Se hizo en Hiroshima y fue la decisión correcta"

El senador Lindsey Graham sugiere usar la bomba atómica en Gaza: "Se hizo en Hiroshima y fue la decisión correcta"

Por ello, el político ha sugerido darle a Israel las bombas que necesita "para poner fin a la guerra".
343 meneos
988 clics
Visitas de familiares vascos a Cuelgamuros: “Lo que hemos visto ahí es brutal”

Visitas de familiares vascos a Cuelgamuros: “Lo que hemos visto ahí es brutal”

Las familias de las víctimas expresan los sentimientos vividos en el valle y muestran su “agradecimiento” por los trabajos de exhumación. “Es una cosa impresionante”, narra Aretxabaleta: “cajas rotas, desechas, huesos…”. “Un amasijo de restos que a mí personalmente me impresionó muchísimo.
281 meneos
1331 clics
El Dépor alerta que peligra el ascenso por culpa del Ayuntamiento, que replica criticando los intereses extradeportivos de Abanca

El Dépor alerta que peligra el ascenso por culpa del Ayuntamiento, que replica criticando los intereses extradeportivos de Abanca

El Deportivo , propiedad de Juan Carlos Escotet (dueño de Abanca), no acude a la celebración de su ascenso en el pazo de María Pita de A Coruña, donde gobierna el PSOE, pero sí visita al presidente de la Xunta, del PP, en Santiago. Para ayudar al club, la alcadesa aceptó que, pese a ser municipal, se rebautizase como Abanca-Riazor. Ahora, un día después del ascenso, demanda disponer de Riazor "a largo plazo" y la política responde que ceder Riazor para que juegue el Depor sí, pero para que Abanca haga negocios no, porque el estadio es de todos.
187 meneos
3698 clics
"28 Años Después" ya tiene fecha de estreno en cines

"28 Años Después" ya tiene fecha de estreno en cines

Se ha hecho esperar pero por fin tenemos fecha de estreno en cines de 28 AÑOS DESPUÉS, el cierre de la franquicia que Danny Boyle y Alex Garland iniciaron con "28 Días Después" y siguió con "28 Semanas Después".
240 meneos
505 clics
Pedro Sánchez no entiende por qué Salvador Illa no le ha llamado aún para felicitarle por su victoria en las catalanas

Pedro Sánchez no entiende por qué Salvador Illa no le ha llamado aún para felicitarle por su victoria en las catalanas

Tras su aplastante victoria en las elecciones catalanas celebradas ayer, Pedro Sánchez no entiende por qué Salvador Illa todavía no le ha llamado para felicitarle. El líder socialista estuvo toda la noche mirando el teléfono sin que Illa se dignase a mandarle ni un mensaje. “Creo que lo mínimo es aceptar limpiamente los resultados y felicitar al ganador”, se sincera Pedro Sánchez. Al enterarse de lo ocurrido, Alberto Núñez Feijóo ha recordado que sigue esperando que Pedro Sánchez le felicite por su victoria en las Generales.
115 125 3 K 392 ocio
115 125 3 K 392 ocio
272 meneos
1201 clics
Yolanda Díaz quiere incluir en los presupuestos de 2025 una prestación por crianza de 200 euros al mes

Yolanda Díaz quiere incluir en los presupuestos de 2025 una prestación por crianza de 200 euros al mes

Díaz planteará el próximo mes de junio a su socio de Gobierno incluir en las cuentas para el próximo ejercicio este permiso, que Sumar llevaba en su programa electoral y que ascendía a 200 euros mensuales por cada hijo menor de 18 años.
599 meneos
779 clics
El periodista Pablo González recibe por primera vez la visita de amigos en la cárcel y vuelve a ver a su hijo mayor

El periodista Pablo González recibe por primera vez la visita de amigos en la cárcel y vuelve a ver a su hijo mayor

Pablo González lleva dos años y tres meses entre rejas en una cárcel polaca a la espera de juicio y de que se presenten pruebas contra él. En todo este tiempo, se le ha mantenido en un estado de semincomunicación. Tan solo ha podido relacionarse con el exterior a través de cartas que son controladas por el personal de la prisión y de las visitas puntuales de sus abogados, el cónsul español y algunas muy concretas de familiares cercanos.
114 meneos
3405 clics

Villa romana con piscina cubierta encontrada en Albania (ENG)

Una excavación en Durrës, Albania, ha descubierto los restos de una villa romana con una piscina cubierta . Es el primero de este tipo descubierto en Albania. La villa fue construida y modificada en la época imperial, por lo que entre los siglos I y IV d.C. El pico de actividad en el lugar parece haber ocurrido entre los siglos I-II d.C.
529 meneos
1287 clics
Envío erróneo o controvertido, por favor lee los comentarios.
Al menos una docena de universidades españolas tiene relaciones con centros israelíes que apoyan la invasión de Gaza

Al menos una docena de universidades españolas tiene relaciones con centros israelíes que apoyan la invasión de Gaza

Al menos ocho universidades públicas españolas y cuatro privadas, más un centro universitario, mantienen vínculos con instituciones académicas israelíes que apoyan las acciones bélicas en Gaza que han ocasionado más de 35.000 muertes. Son 12 rectorados que deberán revisar sus lazos con esos centros, después de que la Conferencia de Rectores de Universidades Españolas (CRUE) acordara la semana pasada “romper relaciones” con sus homólogas israelíes que no estuvieran comprometidas con la paz. Ninguno de los principales nueve campus parece estarlo.
466 meneos
2408 clics
Juancar, otro policía infiltrado en los movimientos sociales de Madrid

Juancar, otro policía infiltrado en los movimientos sociales de Madrid

El Salto desvela la identidad del agente policial Carlos P.M., que pasó dos años infiltrado en movimientos sociales de Madrid bajo la falsa identidad de un joven estudiante
444 meneos
3463 clics
Envío erróneo o controvertido, por favor lee los comentarios.
La movilización por Israel en plena matanza en Gaza y el 'truco' de los 20 votos le facilitaron ser segunda en televoto

La movilización por Israel en plena matanza en Gaza y el 'truco' de los 20 votos le facilitaron ser segunda en televoto

Ese posicionamiento, potenciado por los medios y seudo-medios conservadores, caló profundo entre sus votantes y seguidores. Y en redes sociales, ha habido un mensaje que se ha hecho viral por ejemplificar perfectamente esa idea. El mensaje es de Pilar R Losantos, presidenta de OK Diario, y en él muestra cómo ha gastado 21,80 euros por emitir 20 votos favorables a Israel, el máximo permitido. Valora incluso que es “el dinero mejor invertido del año”.
734 meneos
772 clics
La permisividad del Ayuntamiento de Madrid facilitó al novio de Ayuso hacer obras en su casa incumpliendo la normativa urbanística

La permisividad del Ayuntamiento de Madrid facilitó al novio de Ayuso hacer obras en su casa incumpliendo la normativa urbanística

Nuevos datos sobre las obras en el piso de Alberto González revelan la inacción del Ayuntamiento que ni siquiera notificó algunos de los requerimientos de los técnicos de urbanismo y que aún no ha enviado inspectores a la vivienda.El punto de partida es el registro de una solicitud de declaración responsable que Alberto González presenta el 4 de agosto de 2022 para unas obras de “acondicionamiento puntual de vivienda”. Los trabajos consisten en la demolición de tabiques, instalaciones de fontanería, saneamiento y electricidad, alicatados y sani
230 meneos
1962 clics
Sandy Hook, InfoWars y el caso de difamación más atroz de la historia en nuevo documental

Sandy Hook, InfoWars y el caso de difamación más atroz de la historia en nuevo documental

Centrado en la figura del mediático Alex Jones, el largometraje original de Max indaga en la desinformación y el impacto negativo de las teorías conspirativas. El filme documenta cómo las familias de las víctimas se enfrentaron a Jones en juicios en Texas y Connecticut, culminando en la imposición de la mayor indemnización por difamación registrada en Estados Unidos, con una cifra que asciende a casi 1,500 millones de dólares. Aquí se resalta el esfuerzo por parte de los padres de los menores fallecidos y sus representantes legales
152 meneos
1455 clics
¿Quién puede matar a un niño? Hitchcock a la española

¿Quién puede matar a un niño? Hitchcock a la española

Un matrimonio de turistas británicos, Evelyn y Tom, llegan a un pueblo costero del Mediterráneo para pasar sus vacaciones. Cansados del ruido que provocan las concurridas fiestas del lugar, la pareja, con la mujer embarazada, decide trasladarse a una isla cercana. Al llegar son recibidos por un grupo de niños, mientras los adultos parecen haber desaparecido. Tras una serie de sucesos, Tom y Evelyn descubren que los niños son los responsables de la ausencia de los adultos al unirse para asesinarlos. Dirección: Narciso Ibáñez Serrador (1976).
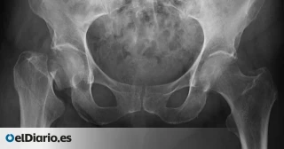
463 meneos
851 clics
Toneladas de radiografías del Archivo del Hospital Valdecilla fueron recicladas en Alemania y la plata obtenida se la quedó el gestor privado

Toneladas de radiografías del Archivo del Hospital Valdecilla fueron recicladas en Alemania y la plata obtenida se la quedó el gestor privado

La empresa Traza ingresó un cuarto de millón de euros por las sales entregadas a una compañía alemana y que fueron vendidas en el mercado de metales preciosos London Fix. A más de 300.000 euros ascendió el rendimiento económico obtenido por la empresa. que gestiona el servicio privatizado del Archivo del Hospital Valdecilla.
596 meneos
1832 clics

Países Bajos. Estalla la violencia por parte de la policía holandesa a estudiantes que se manifestaban por Palestina  

Países Bajos. Estalla la violencia sin precedentes por parte de la policía holandesa que golpeó a un centenar de estudiantes en Amsterdam, que se manifestaron en apoyo a Palestina. Varios estudiantes holandeses resultaron gravemente heridos en la cabeza.
715 meneos
750 clics
El director de Informativos de Telemadrid rechaza explicar en la Asamblea la difusión del bulo sobre Begoña Gómez

El director de Informativos de Telemadrid rechaza explicar en la Asamblea la difusión del bulo sobre Begoña Gómez

El director de informativos de Telemadrid, José Antonio Álvarez Gundín, ha rechazado comparecer en la Asamblea de Madrid para explicar qué llevo a la televisión pública madrileña a publicar una información falsa de The Objective que acusaba a la mujer del presidente Pedro Sánchez, Begoña Gómez, de haber obtenido una subvención del gobierno, cuando en realidad la beneficiaria era otra persona con el mismo nombre y apellido
222 meneos
1250 clics
Envío erróneo o controvertido, por favor lee los comentarios.
Sinead O'Connor canta a capela la canción War de Bob Marley

Sinead O'Connor canta a capela la canción War de Bob Marley  

Hasta que la filosofía que sostiene que hay una raza superior y otra inferior sea final y permanentemente desacreditada y abandonada, en todas partes habrá guerra. Hasta que ya no haya ciudadanos de primera y segunda clase de cualquier nación. Hasta que el color de la piel de un hombre no tenga más importancia que el color de sus ojos. Hasta que los derechos humanos básicos estén igualmente garantizados para todos sin distinción de raza. Hasta ese día, el sueño de una paz duradera seguirá siendo una fugaz ilusión que nunca alcanzaremos.
281 meneos
972 clics
La caída del sistema informático del SAS altera la actividad de hospitales y centros de salud de toda Andalucía

La caída del sistema informático del SAS altera la actividad de hospitales y centros de salud de toda Andalucía

Consultar historiales o resultados de pruebas analíticas, pedir citas, acceder a agendas se han visto afectadas por esta incidencia informática.
344 meneos
354 clics
Un trabajador de la ONU muere en Gaza por el impacto de un proyectil atribuido a Israel

Un trabajador de la ONU muere en Gaza por el impacto de un proyectil atribuido a Israel

La ONU confirmó hoy que uno de sus empleados murió y otro resultó herido en Gaza cuando el vehículo en el que iban fue alcanzado por un proyectil, presuntamente israelí, mientras se dirigían al Hospital Europeo esta mañana. El portavoz de la ONU dijo que son personal internacional y que el vehículo en el que viajaba estaba debidamente identificado como perteneciente a la flota de Naciones Unidas. António Guterres, pidió “una investigación completa”. Unos 190 empleados de la ONU, en su mayoría de la UNRWA, han muerto víctimas de los bombardeos.
125 meneos
1793 clics
La extraña llamada al McDonald's que hizo la policía

La extraña llamada al McDonald's que hizo la policía  

Análisis del feo (filmoteca maldita) sobre la sumisión a la autoridad a partir de unas llamadas a distintos McDonald´s en EEUU.
157 meneos
1773 clics
Alquilar un piso en Madrid, comparado con el siglo XIX: seguimos sin aprender de la historia

Alquilar un piso en Madrid, comparado con el siglo XIX: seguimos sin aprender de la historia

Vivir en la capital de España ya era un problema hace más de cien años, cuando se aceleró el crecimiento demográfico y la población comenzó a agruparse en viviendas cada vez más pequeñas y caras, pero ¿es comparable a lo que ocurre hoy? Lo cierto es que, si nos remontamos a su origen, se podría decir que algunos de los problemas actuales con la oferta inmobiliaria en la ciudad con más población de España se iniciaron después de que Felipe II nombrara capital a esta urbe en 1561. En el siglo XIX el problema se hizo insostenible.

menéame