edición general
234 meneos
4565 clics
Algunas tiendas y distribuidoras se están quedando con parte del stock de GPUs para sus granjas de minado

Algunas tiendas y distribuidoras se están quedando con parte del stock de GPUs para sus granjas de minado

Fuentes de la industria, y fuentes especializadas en el mercado de minería, nos han pegado un chivatazo que realmente cogerá a muy poca gente por sorpresa, y es que algunas tiendas, e incluso algunas distribuidoras del país que tienen que suministrar tarjetas gráficas a las tiendas, se están quedando las GPUs para crear sus propias granjas de minado.
179 meneos
4258 clics
Creación de un mapa sencillo y mejor de las condiciones meteorológicas y del tráfico en las carreteras españolas. [Eng]

Creación de un mapa sencillo y mejor de las condiciones meteorológicas y del tráfico en las carreteras españolas. [Eng]

He hecho un mapa que muestra el tiempo y el estado de las carreteras de España que es más fácil de usar, más bonito y más rápido que el mapa oficial del Gobierno español.
366 meneos
3345 clics
Envío erróneo o controvertido, por favor lee los comentarios.
"Illa, Illa, Illa, fuera mascarillas": la concentración de negacionistas en Madrid enfurece a las redes

"Illa, Illa, Illa, fuera mascarillas": la concentración de negacionistas en Madrid enfurece a las redes

Cientas de personas se han concentrado sin cumplir las medidas sanitarias para reivindicar que la pandemia no existe y miles de usuarios en Twitter han reprobado la actitud y han pedido responsabilidad
416 meneos
504 clics
Murcia suspende todas las operaciones quirúrgicas no esenciales ante un "escenario extremo"

Murcia suspende todas las operaciones quirúrgicas no esenciales ante un "escenario extremo"

Murcia ha decidido suspender toda la actividad asistencial no urgente, incluida la quirúrgica, y reorganizar los recursos materiales y humanos del sistema sanitario para hacer frente a la "crítica" situación de la pandemia, según ha anunciado su presidente, Fernando López Miras, quien descarta más ceses entre altos cargos vacunados sin prioridad.
149 meneos
2838 clics
La historia de los alfareros de Otura que decoraron en Arabia Saudí la única réplica exacta de la Alhambra

La historia de los alfareros de Otura que decoraron en Arabia Saudí la única réplica exacta de la Alhambra

A sus 84 años, Isidro Ruiz Muros, junto a su hermano Manuel y su sobrino Manuel Francisco, han cocido en su ollería de Otura azulejos para la Alhambra, la Mezquita de Córdoba o el Acueducto de Segovia, entre otros muchos monumentos. Pero en este extenso currículum como ceramista que atesora destaca un proyecto único y singular: fue el encargado de fabricar pieza a pieza y cocer en el horno de su ollería de Otura toda la cerámica que contiene la única réplica exacta de la Alhambra que existe en el mundo.
530 meneos
1156 clics
El cacique Raoni lleva a Bolsonaro ante el CPI por "crímenes contra la humanidad"

El cacique Raoni lleva a Bolsonaro ante el CPI por "crímenes contra la humanidad"

El cacique Raoni Metuktire, emblemático defensor de la Amazonía, pidió a la Corte Penal Internacional (CPI) que investigue por "crímenes contra la humanidad" al presidente brasileño, Jair Bolsonaro, por "perseguir" a los indígenas, destruir su hábitat e ignorar sus derechos. La denuncia, la segunda presentada contra el mandatario ultraderechista desde julio ante este organismo con sede en La Haya, asegura que desde su llegada al poder en enero de 2019 "la destrucción de la selva amazónica se ha acelerado sin medida".
171 meneos
3043 clics
Goody (Opera Soft, 1987)

Goody (Opera Soft, 1987)

Goody es un videojuego de plataformas, acción y puzles, desarrollado por la compañía española Opera Soft y publicado en 1987 para ZX Spectrum, Amstrad CPC, MSX y PC (MS-DOS). El protagonista de la aventura es un experimentado ladrón llamado John Nelson Brainner Stravinsky, conocido simplemente como "Goody", cuya misión es entrar a robar al Banco de España y dar el mayor golpe de su vida. Como es de esperar, la misión está plagada de peligros. Además de tener que esquivar todo tipo de enemigos, como policías, gorilas, helicópteros [...]
208 meneos
3417 clics
Fabricación artesanal de gafas

Fabricación artesanal de gafas

En el año 1997, José Grao, en su pequeño taller de Zaragoza, llevaba más de 40 años diseñando y fabricando a mano gafas de pasta de diferentes modelos, adaptándose a todas las modas. Hoy, sus herederos siguen fabricando a mano estas originales gafas de diferentes estilos bajo la marca Grao-Gayoso.
676 meneos
1112 clics
Nuevo escándalo de vacunaciones ilegales en Valladolid: ahora en Ambuibérica mientras la Junta calla

Nuevo escándalo de vacunaciones ilegales en Valladolid: ahora en Ambuibérica mientras la Junta calla

CGT denuncia la vacunación de administrativos antes que personal expuesto al Covid en Ambuibérica en Valladolid y Zamora Descontrol de la Junta en Valladolid, que se entera de las vacunaciones ilegales de políticos y empresas por la prensa y por los sindicatos.
376 meneos
1138 clics
Los nacionalistas escoceses publican una hoja de ruta para un nuevo "referéndum legal" de independencia

Los nacionalistas escoceses publican una hoja de ruta para un nuevo "referéndum legal" de independencia

El SNP de la ministra principal escocesa, Nicola Sturgeon, considera que el Gobierno británico, radicalmente opuesto a un nuevo referéndum, tiene tres opciones: aceptar que el Parlamento escocés tiene competencia para convocar el referéndum conforme a la Ley de Escocia de 1998, dar su autorización activa para la votación o la convocatoria del referéndum en los tribunales. El referéndum debe celebrarse después de la pandemia, ha explicado.
210 meneos
8078 clics
¿Eres capaz de distinguir entre creadores de lenguajes de programación y asesinos en serie?

¿Eres capaz de distinguir entre creadores de lenguajes de programación y asesinos en serie?

Un juego sencillo: A partir de una foto, ¿puedes clasificar adecuadamente a estas personas en uno de los dos grupos?
111 99 3 K 582 ocio
111 99 3 K 582 ocio
413 meneos
2917 clics
La eclosión del negacionismo: ¿por qué la idiotez se transmite casi tan rápido como el virus?

La eclosión del negacionismo: ¿por qué la idiotez se transmite casi tan rápido como el virus?

Nos hemos llevado tantos palos, nos han dicho tantas cosas contradictorias (que si ahora hay que llevar guantes y no mascarillas; que si ahora que ya las hay en las farmacias si que hay que llevar mascarillas y no guantes; que no hay que ir a los hospitales y tomar Paracetamol; que no que no, que hay que ir al hospital porque si no se pueden producir unas neumonías irreversibles; que si confinar era lo mejor, o que no hay que confinar,…) que no es extraño este renacimiento de chamanes y virólogos de medio pelo.
242 meneos
3992 clics
El experimento radical de Barcelona para renaturalizar la ciudad

El experimento radical de Barcelona para renaturalizar la ciudad

El confinamiento permite aplicar un cambio de estrategia: mejorar el estado de los espacios verdes dejando de intervenir en ellos
496 meneos
3925 clics
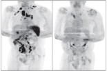
El extraño caso de la curación de un linfoma de Hodgkin por el SARS-CoV-2

El extraño caso de la curación de un linfoma de Hodgkin por el SARS-CoV-2

Según los autores, la hipótesis es que la infección por SARS-CoV-2 desencadenó una respuesta inmunitaria antitumoral: las citocinas inflamatorias producidas en respuesta a la infección podrían haber activando células T específicas con antígenos tumorales y células asesinas naturales contra el tumor. El SARS-CoV-2 le había curado el linfoma.
221 275 0 K 425 ciencia
221 275 0 K 425 ciencia
185 meneos
3007 clics
La mujer que se hizo una cesárea

La mujer que se hizo una cesárea

"Superando probablemente la historia del cirujano que tuvo que operarse a sí mismo de apendicitis estando aislado en la Antártida hoy me he enterado de que en el año 2000 una mujer mexicana se hizo una cesárea a sí misma para dar a luz a su bebé y además vivió para contarlo."
95 90 4 K 483 ocio
95 90 4 K 483 ocio
741 meneos
2305 clics
La basura acumulada en Madrid tras el temporal vuelve a poner al descubierto el leonino contrato firmado por Ana Botella

La basura acumulada en Madrid tras el temporal vuelve a poner al descubierto el leonino contrato firmado por Ana Botella

Las asociaciones vecinales piden un mejor servicio y acusan al Ayuntamiento de falta de previsión tras una tormenta de nieve que sigue acumulando basura. Los sucesivos recortes de tasas de basuras han llevado a que en apenas dos años el Consistorio dejará de ingresar más de 130 millones de euros en impuestos de basuras y bienes inmuebles.
127 meneos
4262 clics
Envío erróneo o controvertido, por favor lee los comentarios.
¿Qué eran las Flakturm o Torres Flak?

¿Qué eran las Flakturm o Torres Flak?

La Alemania nazi construyó una serie de edificaciones militares y civiles que se adelantaron una década al estilo brutalista, posteriormente adoptado por la Unión Soviética (URSS). De entre estas edificaciones, eminentemente militares, se destacaron las Flakturm, o Torres Flak, una suerte de fortalezas del siglo XX que se levantaron en cinco importantes núcleos urbanos del III Reich, generando un fuerte contraste visual al mezclarse con viviendas de estilo Haussmann.
686 meneos
8145 clics

Este vídeo hay que sacarlo cada cierto tiempo  

Historiador habla en el Foro de la Davos de la hipocresía de los asistentes y de evasión fiscal
288 398 3 K 459 cultura
288 398 3 K 459 cultura
183 meneos
5563 clics
Todas las carreteras del Imperio Romano, reunidas en un minimalista mapa

Todas las carreteras del Imperio Romano, reunidas en un minimalista mapa

Cuando Alarico saqueó Roma en el 410 difícilmente podía imaginar el impacto tan prolongado y traumático que su acción tendría para el Imperio Romano. Él, que durante años había ansiado pertenecer a la élite imperial, formar parte del centro político y cultural de Europa, jugaría un rol clave en la eventual desaparición de la institución. La desintegración del Imperio Romano de Occidente pondría fin a ocho siglos de continuidad política y económica. Lo que incluye a sus infraestructuras.
657 meneos
1208 clics
La consejera de Sanidad del Cabildo de La Palma también se vacuna contra la Covid saltándose el turno

La consejera de Sanidad del Cabildo de La Palma también se vacuna contra la Covid saltándose el turno

La consejera de Sanidad del Cabildo de La Palma, Susana Machín, ha recibido la vacuna de la Covid-19 al estar incluida en la relación de pacientes y profesionales del Hospital de Dolores realizada por el equipo directivo para la vacunación, según ha aclarado el grupo de gobierno de la Corporación insular.
423 meneos
3109 clics
Cientos de personas se manifiestan en Madrid sin mascarilla y con pancartas contra la vacuna

Cientos de personas se manifiestan en Madrid sin mascarilla y con pancartas contra la vacuna  

La Plaza de Colón se ha llenado esta tarde sábado de cientos de personas en contra de las medidas del Gobierno para paliar la pandemia del coronavirus y con mensajes contra la vacuna. Sin mascarilla ni distancia de seguridad y muchos gritando «Libertad», aseguran que las restricciones solo tenían fines políticos y económicos y que no eran para salvaguardar la salud de los ciudadanos. «Mira mi pancarta, no a la vacuna porque produce esterilidad. Eso está comprobado por los médicos a los que no están escuchando», asegura una de las manifestantes
495 meneos
2589 clics
Rutte se traga sus palabras: Holanda se confina como todo hijo de vecino

Rutte se traga sus palabras: Holanda se confina como todo hijo de vecino

El primer ministro neerlandés, que había jurado y perjurado no limitar la libertad de sus ciudadanos, ha recurrido ya a prácticamente todas las medidas de las que siempre renegó
209 meneos
3639 clics
Dieciocho años sin noticias de la Pioneer 10, en rumbo a Aldebarán

Dieciocho años sin noticias de la Pioneer 10, en rumbo a Aldebarán

Este 23 de enero se cumplen 18 años de la última débil señal recibida en la Tierra de la sonda Pioneer 10 de la NASA, que se encuentra actualmente en una larga ruta hacia la estrella Aldebarán. Pioneer 10 fue lanzada el 2 de marzo de 1972, siendo la primera sonda que atravesó con éxito el cinturón de asteroides y que llegó hasta el planeta Júpiter, el objetivo principal de su misión, desde donde envió las mejores imágenes hasta entonces de la atmósfera del planeta. En junio del año 1983 se convirtió en el primer objeto fabricado por el ser
247 meneos
2817 clics
Los detenidos por el crimen de Aintzane Pujana la habrían explotado sexualmente

Los detenidos por el crimen de Aintzane Pujana la habrían explotado sexualmente

El hombre y la mujer detenidos el pasado día 12 por el asesinato de la donostiarra Aintzane Pujana podrían haber estado explotando sexualmente a su víctima. La mujer, cuyo cadáver fue encontrado con varias cuchilladas, era explotada sexualmente de una forma "dirigida" o "controlada" por los arrestados, quienes además la habrían mantenido retenida. De hecho, la pareja, un varón de 24 años y una mujer de 23, han sido acusados de un presunto delito de homicidio, otro de detención ilegal y un tercero de explotación sexual.
303 meneos
2145 clics
Una infancia que trabaja de sol a sol [en imágenes]

Una infancia que trabaja de sol a sol [en imágenes]  

En los campos mexicanos de chiles y jalapeños trabajan en condiciones de semiesclavitud cientos de niños indígenas de la etnia rarámuri. El propietario de la finca cuenta que algunas veces, ha tratado de frenar el ingreso de menores, pero entonces el resto de trabajadores se solidarizan y se niegan a faenar ese día.

menéame