edición general
555 meneos
7747 clics
Hasta el churro de los envases absurdos en los supermercados

Hasta el churro de los envases absurdos en los supermercados  

Estamos asistiendo poco a poco al fenómeno “anti-plástico” y parece se va tomando conciencia de que, si seguimos así, este material acabará ocupando cada rincón de nuestro planeta. Los mares son los que peor parte se llevan, ya que la mayor parte de plásticos acaban en las profundidades y destruyendo así la fauna y la flora marina.
301 meneos
6459 clics
El aceite de los superolivares en seto inunda el mercado y favorece la caída de precios

El aceite de los superolivares en seto inunda el mercado y favorece la caída de precios

El futuro ya es presente. La masiva apuesta, en los 58 países donde se cultiva el olivo, por la plantación de olivares en forma de seto y en la mayoría de los casos con regadío está ya dejándose sentir con fuerza en el mercado. Estos superolivares producen un volumen de aceite estable campaña a campaña y de una calidad equiparable con la de los olivares tradicionales. Sus costes de producción, sobre todo por la recolección mecanizada, son notablemente inferiores a los de los de las colinas y montes punteados de olivos que identifican el paisaje
339 meneos
2340 clics
La polícia italiana incauta un misil a unos ultraderechistas

La polícia italiana incauta un misil a unos ultraderechistas

Detenidas tres personas a las que se les ha localizado rifles de asalto automáticos de "última generación"
891 meneos
1059 clics
CCOO traiciona a los trabajadores del campo con la firma de un convenio donde se renuncia a derechos conquistados

CCOO traiciona a los trabajadores del campo con la firma de un convenio donde se renuncia a derechos conquistados

CCOO traiciona a los trabajadores del campo con la firma de un convenio donde se renuncia a derechos conquistados → El SAT deplora la actitud de CCOO al firmar un convenio provincial en Sevilla que traiciona los intereses de los trabajadores y trabajadoras al suponer pérdida salarial y renuncia de derechos conquistados.
150 meneos
2742 clics
Una huella en Alaska. El Descubrimiento de Alaska

Una huella en Alaska. El Descubrimiento de Alaska

A finales del siglo XVIII, los españoles exploraron la actual Alaska, o Unalaska como era conocida en la época. Tuvieron que competir y hacer frente a rusos, ingleses, holandeses y a cualquier potencia interesada en aquellos nuevos territorios. No obstante España mantuvo el control en la zona estableciendo un fuerte en la pequeña isla de Nutka, al sur de Vancouver. Nombres de ciudades, islas, bahías y glaciares, son testigos de la presencia hispana en aquellas frías latitudes.
957 meneos
3114 clics
Pedro Sánchez ofrece a Pablo Iglesias ser presidente de mesa en unas nuevas elecciones

Pedro Sánchez ofrece a Pablo Iglesias ser presidente de mesa en unas nuevas elecciones

El presidente del Gobierno en funciones, Pedro Sánchez, ha planteado esta mañana una última oferta a Pablo Iglesias para conseguir el voto favorable de Unidas Podemos a su investidura.
332 625 8 K 370 ocio
332 625 8 K 370 ocio
258 meneos
1271 clics
España, con 1.806 muertos en accidentes de tráfico, es el séptimo país de Europa con menor siniestralidad

España, con 1.806 muertos en accidentes de tráfico, es el séptimo país de Europa con menor siniestralidad

En España mueren 39 personas por millón de habitantes en accidentes de tráfico. En total, en 2018 murieron 24 víctimas menos que en 2017 en accidentes de tráfico. Los usuarios vulnerables (peatones, ciclistas y motociclistas) representan ya el 48% del total de fallecidos.
460 meneos
3674 clics
Jesús Gil y el Atlético: cómo robar un club, insultar al mundo y que no pase nada

Jesús Gil y el Atlético: cómo robar un club, insultar al mundo y que no pase nada

¿Puede una persona robar un club de fútbol, que le pillen y, aun así, quedárselo? Puede. ¿Puede un gestor arrastrar a uno de los equipos más grandes de España hasta Segunda División? Puede. ¿Puede un presidente cambiar 40 veces (no es una errata) de entrenador en 17 temporadas? Puede. ¿Puede una persona que ha hecho todo lo anterior ser tratado por los medios, buena parte de la afición y, ahora, HBO como un tipo simpático, un ogro gracioso, un truhán pintoresco?
140 320 3 K 243 ocio
140 320 3 K 243 ocio
702 meneos
2367 clics
Condenada a 1 año y medio de prisión y 15.400€ de multa e indemnización por denunciar una violación falsa de su expareja

Condenada a 1 año y medio de prisión y 15.400€ de multa e indemnización por denunciar una violación falsa de su expareja

Una mujer ha sido condenada en Plasencia a 1 año y medio de prisión, y a pagar una indemnización de 10.000€ y una multa de 5.400€ tras acusar a su pareja de violarla. Cuando supuestamente se había cometido la agresión el hombre estaba comiendo con un hijo de otra relación y a las pocas horas ella le mandó un whatsapp preguntándole qué estaba haciendo. Según la sentencia la mujer «con absoluto desprecio hacia la administración de Justicia», con el único fin de hacer daño al que había sido su compañero, se inventó que había sido violada por él.
696 meneos
839 clics
La Guardia Civil expedienta al popular grupo musical Adebán por cantar: 'Arriba, abajo, mandaremos al rey al carajo'

La Guardia Civil expedienta al popular grupo musical Adebán por cantar: 'Arriba, abajo, mandaremos al rey al carajo'

El grupo musical Adebán fue identificado este domingo por la Guardia Civil por cantar 'Arriba, abajo', una canción contra la monarquía que la veterana formación lleva desde hace cuatro décadas en su repertorio habitual. Fue en un acto a favor de la línea ferroviaria del Canfranc, según informa en un comunicado Izquierda Unida Aragón, que ha manifestado su solidaridad con el cuarteto.
139 meneos
2486 clics
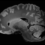
Resonancia magnética capturó la imagen más detallada del cerebro humano (ING)

Resonancia magnética capturó la imagen más detallada del cerebro humano (ING)  

Investigadores del Hospital General de Massachusetts en Boston crearon esta resonancia magnética 3D del cerebro de una mujer de 58 años, quien lo donó a la ciencia. Usaron una poderosa máquina de MRI llamada 7 Tesla o 7T, y permaneció allí durante casi cinco días de escaneo, más de 100 horas de escaneo que dieron como resultado la imagen 3D con una resolución de menos de 0.1 milímetros de ancho. Más: www.youtube.com/watch?v=I0fjPyk1eHM www.youtube.com/watch?v=Q-9jzBkoNuI
414 meneos
1117 clics
Médico en Reino Unido suspendido por trabajar 24 horas sin descanso, poniendo a los pacientes en riesgo

Médico en Reino Unido suspendido por trabajar 24 horas sin descanso, poniendo a los pacientes en riesgo

Un médico que trabaja en NHS, Reino Unido, ha sido suspendido después de haber trabajado 24 horas a la vez. El tribunal dijo que el Dr. Hyder actuó "deshonestamente" y "puso a sus pacientes en riesgo".
208 meneos
959 clics
Recuperado un busto del emperador Adriano del siglo II d.c. que intentaban vender por medio millón

Recuperado un busto del emperador Adriano del siglo II d.c. que intentaban vender por medio millón

Agentes pertenecientes al Equipo de Patrimonio de la UOPJ de Sevilla hallan un pieza de un incalculable valor histórico, cultural y arqueológico consistente en un busto del Emperador Adriano del Siglo II d.c. La investigación se inició a principios de año cuando se tuvo conocimiento del posible comercio de una pieza de gran valor por el que los poseedores pedían una cantidad de dinero muy importante, en torno a los 500.000€.
599 meneos
3220 clics
Envío erróneo o controvertido, por favor lee los comentarios.
En Italia ponen a los presos a asfaltar rutas y limpiar las calles

En Italia ponen a los presos a asfaltar rutas y limpiar las calles

Italia está viviendo grandes cambios desde llegada de Matteo Salvini, que ha impulsado medidas nunca vistas hasta ahora en la política italiana. Y si bien algunas decisiones generan acalorados debates, otras han sido muy aplaudidas por la gran mayoría de ciudadanos. Es el caso de la flamante decisión de poner a trabajar a los presos para que “sean útiles a la sociedad”.
303 meneos
3067 clics
Encuentran con vida y en buen estado a las tres espeleólogas desaparecidas en la cueva de Coventosa

Encuentran con vida y en buen estado a las tres espeleólogas desaparecidas en la cueva de Coventosa

Fin de la agonía. Están vivas y en buen estado. Los servicios de emergencias han encontrado a las tres espeleólogas residentes en Cataluña que desaparecieron este domingo en la cueva Cueto-Coventosa, un territorio de difícil orografía en Cantabria.
441 meneos
1647 clics
Los jóvenes sin formación ganan lo mismo que a finales de los noventa

Los jóvenes sin formación ganan lo mismo que a finales de los noventa

La crisis ha castigado con fuerza los bolsillos de los jóvenes. Hoy los que tienen estudios bajos perciben lo mismo que se ganaba a su edad a finales de los noventa. Es más, por primera vez todos, incluidos también los de estudios altos, obtienen rentas salariales anuales menores que las de los jóvenes de hace una década.
149 meneos
2499 clics
Europa quiere que Samantha sea la primera mujer en pisar la Luna, pero ¿puede pagarlo?

Europa quiere que Samantha sea la primera mujer en pisar la Luna, pero ¿puede pagarlo?

El primer hombre, ya lo sabemos, fue estadounidense. Y el segundo. La primera mujer llegará en unos cuatro años y la ESA tratará de que la italiana esté en ese vuelo. El precio: 500M al año.
304 meneos
1783 clics

Nuevo billete británico mostrará al matemático Alan Turing

El matemático y pionero de la computación Alan Turing aparecerá en el nuevo billete británico de 50 libras, según anunció el lunes el Banco de Inglaterra
1577 meneos
2606 clics
El PSOE se une a PP y C’s para vetar las preguntas de Garzón sobre la compra secreta de un coche de 454.000€ a Felipe VI

El PSOE se une a PP y C’s para vetar las preguntas de Garzón sobre la compra secreta de un coche de 454.000€ a Felipe VI

La Mesa del Congreso de los Diputados ha tirado de manual para vetar e inadmitir a trámite una parte de la batería de preguntas que el coordinador federal y diputado de Izquierda Unida y portavoz adjunto del grupo de Unidas Podemos, Alberto Garzón dirigió al Gobierno en funciones hace 10 días para que explicara al detalle las circunstancias que rodean la compra por parte del Ministerio de Hacienda de un vehículo valorado en 454.000 euros para uso reservado de la Casa Real.
309 meneos
1758 clics
Las crías de vencejos se precipitan de los nidos por la ola de calor: recogidos 1.000 en una semana

Las crías de vencejos se precipitan de los nidos por la ola de calor: recogidos 1.000 en una semana

Recoger crías de vencejo de la calle es algo relativamente normal en verano. El calor hace que la temperatura en el interior de los nidos sea asfixiante y los polluelos se precipitan al vacío sin haber aprendido a volar todavía. Pero si antes los centros de recuperación recibían uno o dos ejemplares al día, la reciente ola de calor ha ampliado tanto las cifras que muchos de estos organismos se encuentran completamente desbordados. «Antes podíamos llegar a recibir unos 600 al año», explica Raúl Alonso, presidente del Centro de Recuperación de...
123 meneos
2438 clics
Sigue la misión Apolo 11 en "tiempo real" en tu navegador

Sigue la misión Apolo 11 en "tiempo real" en tu navegador

En Apollo 11 Real–Time Mission Experience se puede seguir en tiempo real –aunque puedes avanzer y retroceder a tu gusto– el desarrollo de la misión desde 20 horas, 46 minutos y 5 segundos antes del despegue, o lo que es lo mismo, desde las 17:45:56 del 15 de julio de 1969.
341 meneos
1207 clics
Las pensiones de jubilación, según los trabajadores: "Hay quien cobra 500 €, no hay derecho"

Las pensiones de jubilación, según los trabajadores: "Hay quien cobra 500 €, no hay derecho"

En Bilbao, a principios de 2018, comenzaron las manifestaciones de los jubilados reclamando unas pensiones “justas”. Fueron apodados como 'yayoflautas' y consiguieron que el movimiento se extendiese a toda España provocando la reacción del Gobierno: la cuantía aumentó al ligarse las pensiones al IPC.
207 meneos
531 clics
Interior se reúne con Google, Facebook y Twitter para la intervención rápida en los delitos de odio

Interior se reúne con Google, Facebook y Twitter para la intervención rápida en los delitos de odio

No hablamos solo de que sean delitos de odio. También podremos alertar a Twitter acerca de logos o viñetas que contrapongan las reglas de uso de la plataforma
853 meneos
4823 clics
Los comerciantes de El Rastro dejan en ridículo a Ayuso tras su nueva ocurrencia

Los comerciantes de El Rastro dejan en ridículo a Ayuso tras su nueva ocurrencia

La candidata aseguró que Madrid Central "ha matado" al emblemático enclave pero los vendedores culpan a la liberalización de horarios del PP. Torralbo (Asociación el Rastro Punto Es) asegura que culpar a Madrid Central del descenso de las ventas “es atentar contra el sentido común”. La portavoz de la citada asociación recuerda que “desde hace décadas” no se puede acceder al Rastro en coche. “Si viene gente de otros municipios de la Comunidad, dejan el coche en otras zonas”, advierte. Como no podía ser de otro modo, las tesis de la popular se ha
354 meneos
1833 clics
Las guerras ilegales de la OTAN empiezan por mentiras

Las guerras ilegales de la OTAN empiezan por mentiras

ENTREVISTA. Una descripción del libro "Las guerras ilegales de la OTAN" (2017) del historiador Daniele Ganser marca los verdaderos objetivos de la alianza atlántica en la entrelazada geopolítica de la energía y la política.
118 236 2 K 256 cultura
118 236 2 K 256 cultura

menéame